Buonasera.
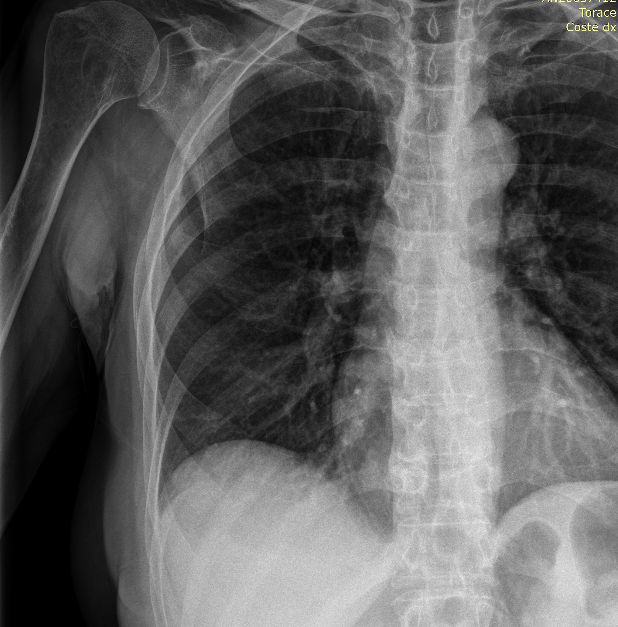
In caso di caduta da uno scaleo con dolore all'emicostato destro in sede posteriore è casuale lo studio radiografico delle vertebre posteriori oppure no?
In altre parole, è possibile pretendere ad una rx del torace di analizzare solo le coste e non anche le vertebre?
Quanto sopra perchè mi è stato detto che la visualizzazione delle vertebre dorsali in un caso del genere sarebbe solo incidentale e non dovuta, mentre a mio parere non credo sia affatto possibile visualizzare le costole in sede posteriore per eventuali fratture senza di necessità visualizzare anche le vertebre dorsali, perchè per l'esistenza delle articolazioni costo-vertebrali le due immagini non sarebbero scindibile, se non nei preparati isolati del cadavere, è giusto oppure no?
Caso di infrazione costale dx associata a frattura vertebrale di D9 formatasi nel medesimo infortunio (in associazione ad una pregressa frattura vertebrale di D11 consolidata) passata misconosciuta al primo esame radiografico, più precisamente interpretata come alterazione artrosica e valutata con semplice esame clinico, invece che con RMN (effettuata dopo soli tre mesi).
Mi scuso per il ritardo nella risposta, ma ci sono stati problemi tecnici che impedivano l'accesso al sito di AIFM.
La domanda andrebbe rivolta a un radiologo. Posso però segnalare che la radiografia è una rappresentazione in due dimensione di un distretto tridimensionale, quindi esiste il rischio di perdere delle informazioni a causa della sovrapposizione di diversi tessuti/organi..

